• ODONTOLOGÍA GENERAL
    Para solucionar los problemas bucodentales se pueden aplicar diferentes tratamientos. Estos son los más frecuentes:

    LIMPIEZA DENTAL
    LIMPIEZA
    Está indicado realizar una limpieza dental al año, aunque, en algunos casos su dentista puede recomendarla cada 6 meses.
    Es un tratamiento rápido, indoloro y no desgasta los dientes. Se usa diverso instrumental (ultrasonidos, curetas, cepillo eléctrico) para limpiar los dientes, eliminar el sarro y la placa acumulados en la unión del diente con la encía. Si sus encías son delicadas puede notar una ligera sensibilidad a los cambios térmicos, que desaparecerá antes de 10 días. Las primeras 24 horas tras la limpieza dental debe evitar el consumo de café, té, tabaco, vino tinto y alimentos con colorante, transcurrido este tiempo la saliva vuelve a formar una película protectora natural.


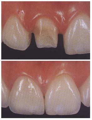
    EMPASTE

    EMPASTE
    Se trata de un modo de reparar una pieza dental dañada o con caries y devolverle su forma, función y estética ideal. El dentista retira el material cariado, desinfecta y rellena la zona afectada con un material. Este material de restauración puede ser: composite (del color del diente) o amalgama de plata y mercurio (color metálico). La duración de ambos en boca suele ser de 5 a 8 años aproximadamente, aunque depende del tipo de paciente: higiene bucal, zona y pieza afectada, si rechina los dientes o muerde objetos.

    EMPASTE 2


    ENFERMEDAD PERIODONTAL

    Unas encías sanas determinan que los dientes estén bien sujetos y firmes para poder cumplir su función. La enfermedad que afecta a las encías se determina enfermedad periodontal(o piorrea) y consta de 2 etapas:

    - GINGIVITIS


    enfermedad periodental 2

    Aparece una inflamación, enrojecimiento y sangrado espontáneo de las encías, provocado por la acumulación de placa bacteriana, que produce toxinas que irritan el tejido gingival. También se puede acompañar de halitosis o mal sabor de boca. El hueso y el tejido conectivo que sostiene los dientes aún no ha sido dañado. Es el momento de consultar a su dentista y solucionar el problema.

    - PERIODONTITIS

    enfermedad periodental 1

    Se forman unas bolsas debajo del borde de las encías donde se acumula la placa bacteriana. El hueso se reabsorbe y las fibras que sostienen a los dientes se dañan. Si se abandona y no se cuida la periodontitis avanza, comienza la movilidad dental y puede llegar a perder sus dientes. La salud de sus encías esta relacionada con su bienestar y salud general. La existencia de infecciones periodontales se relaciona con un mayor riesgo de sufrir enfermedades cerebrovasculares y cardiovasculares, especialmente infarto de miocardio, problemas respiratorios, diabetes, complicaciones en el nacimiento (bebés prematuros y bajos de peso).


    PUENTES Y CORONAS
    Son prótesis fijas estéticas (sin ganchos) que se cementan sobre los dientes o implantes. Las coronas se utilizan para cubrir y reforzar un diente destruido, descolorido, fracturado o que ha sido sometido a una endodoncia, colocar un puente y recubrir un implante. Los puentes suelen usarse para reemplazar una o varias piezas dentales, que servirán de pilares para que el puente o lo corona ajuste perfectamente. Luego se toma un molde de la boca para fabricar la prótesis fija, que puede ser de oro, de metal-cerámica, de cerámica o de zirconio y cerámica. Mientras el laboratorio confecciona la prótesis definitiva el paciente llevará una prótesis provisional de resina para proteger y dar estética a los dientes tallados.

    corona


    RADIOGRAFÍAS

    RADIOGRAFIA
    Su dentista puede prescribirle una radiografía panorámica (ortopantomografía), que proporcione una visión completa del maxilar superior, inferior y de la articulación. También le puede indicar la realización de radiografías intrabucales. La radiografía es un método que nos ayuda en el diagnóstico de: dientes retenidos, abcesos, quistes, tumores, puntos de caries, situación de las muelas del juicio, localización de estructuras anatómicas, problemas de la articulación. La paciente embarazada, o que crea que pudiera estarlo, debe advertirlo a su dentista, pues está totalmente contraindicado realizar radiografías en gestantes.